[Caso Clínico] Setembro de 2020 - Neuro
Meduloblastoma
Plano axial ponderada em T2 (TSE) com presença de formação expansiva de contornos ligeiramente lobulados, localizada na metade superior do vermis cerebelar, acompanhada por halo de edema vasogênico, determinando compressão com deslocamento anterior do IV ventrículo, e leve compressão sobre os pedúnculos cerebelares superiores.
Introdução
O meduloblastoma é um tumor neuroectodérmico primitivo que ocorre na fossa posterior em crianças. É responsável por 30% a 40% dos tumores da fossa posterior na infância, sendo o mais comum, e por 15% a 25% de todos os tumores cerebrais pediátricos. Nos adultos, respondem por 1% dos tumores cerebrais. Trata-se de uma neoplasia altamente maligna e de crescimento rápido o qual pode disseminar-se através do líquido cefalorraquidiano (LCR) (Yachnis, 1997; Da Fonte et al., 2008). É responsável por quase 10% das mortes por câncer em crianças menores de 15 anos de idade. Além disso, é duas vezes mais comum no sexo masculino em relação ao sexo feminino. Foi descrito pela primeira vez em 1925 por Cushing, como um tumor altamente agressivo, localizado na linha média na fossa posterior.
Apresentação clínica:
Em função de sua localização na fossa posterior, o MB comporta-se como uma lesão expansiva, que causa compressão do quarto ventrículo, gerando sintomas como hidrocefalia obstrutiva e, consequentemente, típicas manifestações de hipertensão intracraniana, cefaleia, náuseas, vômitos e alterações variáveis do nível de consciência. O comprometimento cerebelar pode levar a problemas de equilíbrio e distúrbios graves na coordenação dos movimentos, com importante comprometimento da marcha, da estabilidade postural e dos atos motores complexos. Pode ocorrer paresia de nervos cranianos, gerando diplopia e estrabismo. Papiledema pode ser evidenciado como reflexo do quadro de hipertensão intracraniana (Raffel, 2004; Crawford et al., 2007; Albright et al., 2008; Santa Anna et al., 2009).
Os meduloblastomas estão associados a uma série de síndromes, incluindo:
- Síndrome de Coffin-Siris
- Síndrome de Cowden
- Síndrome de Gardner
- Síndrome de Gorlin
- Síndrome de Li-Fraumeni
- Síndrome de Rubinstein-Taybi
- Síndrome de Turcot
- Acidúria L-2-hidroxiglutárica
Estadiamento:
O estadiamento permitiu que o MB fosse dividido em dois grupos de risco: alto e baixo risco. Os tumores considerados de alto risco são aqueles que acometem crianças menores de 3 anos, ou com ressecção incompleta, ou que apresentarem os critérios T3b, T4, M1 a M4 do estadiamento. A classificação em alto e baixo risco teve importância significativa na determinação da terapêutica para esses pacientes. Os tumores de alto risco passam a receber tratamento quimioterápico em adição à cirurgia e radioterapia, enquanto que os de baixo risco são submetidos apenas aos tratamentos cirúrgico e radioterápico (Heidman et al., 1997).
Variantes histológicas:
Atualmente, a classificacao histológica dos meduloblastomas divide-se em 4 subtipos: o clássico, o desmoplásico, o meduloblastoma com extensa nodularidade (MBEN) e a variante anaplásica/grandes células, as duas últimas acrescentadas a partir da classificacao de 2007 e assim agrupada uma vez que evidenciou-se diferença na distribuição etária e no comportamento biológico dos tumores
A frequencia do tumores com anaplasia varia de 10 a 22% entre os meduloblastomas, enquanto os tumores com desmoplasia e extensa nodularidade tem frequencia aproximada de 7% e 3% respectivamente. O restante dos meduloblastomas é composto pela variante clássica
Variantes moleculares:
4 subgrupos moleculares foram definidos: WNT, SHH, grupo 3 e grupo 4. Os dois primeiros nomeados de acordo com a via de sinalização intracelular que tem papel em sua patogênese, e mecanismo , e os dois últimos ainda com nomeclatura genérica uma vez que a biologia molecular subjacente ainda não foi elucidada .
O WNT é o grupo mais elucidado até o momento, tem o padrão de alterações genéticas mais uniforme e quase a totalidade dos tumores apresenta histologia clássica. Contabiliza apenas 10% dos meduloblastoma, no entanto, é o subgrupo com melhor prognóstico, com índices de 90% de sobrevida livre de doença em 5 anos .
O grupo 2 ou Sonic Hedgehog representa 30% de todos os meduloblastomas, tem um padrão bimodal de distribuição e os tumores com histologia desmoplásica quase que na totalidade pertencem a este grupo. Não são, no entanto, um marcador efetivo, pois 50% das lesões pertencentes ao subgrupo não tem essa característica .
O grupo 3, por sua vez, assim denominado por falta de identificação de uma via de sinalização intracelular correlata, conta com 25% de todos os meduloblastomas. De todos os subgrupos, é o que apresenta pior prognóstico, com sobrevida em 5 anos de 50% apenas . Engloba a maioria dos meduloblastomas clássicos e a grande maioria dos tumores com anaplasia/grandes células na população lactente. Outra característica do grupo é a presença de metástases no momento do diagnóstico, ocorrendo em 45% dos casos. É mais frequente no sexo masculino, acomete principalmente lactentes e criancas, sendo quase inexistente na população adulta.
O mais comum de todos os subgrupos é o 4, sendo responsável por 35% dos casos de meduloblastoma. Raro em lactentes, este subgrupo é o protótipo dos meduloblastomas: menino em idade escolar com histologia clássica. A alteração genética mais frequente é o isocromossomo 17q, ocorrendo em 66 a 80% dos casos . O prognóstico deste subgrupo é intermediário, e apesar de ser o mais comum, tem seus mecanismos de patogênese pouco elucidados.
Avaliação Radiológica:
Os exames de imagem possuem papel indispensável no diagnóstico e planejamento terapêutico dos tumores intracranianos. A ressonância magnética (RM), em particular, surgiu como a modalidade de imagem mais freqüentemente utilizada para a avaliação dos tumores intracranianos e continua a ter papel importante e crescente. Técnicas avançadas podem ser integradas às convencionais, melhorando sua acurácia, pois, mais do que informações anatômicas, fornecem dados fisiológicos e bioquímicos. Entre essas técnicas, podemos citar as seqüências de difusão e a espectroscopia de prótons.
Radiologicamente, os meduloblastomas podem apresentar ampla variedade de formas, assumindo características que podem ser encontradas em outros tumores, tendo como diagnósticos diferenciais os astrocitomas cerebelares, ependimomas ou, ainda, meningiomas. Dessa forma, devem ser considerados no diagnóstico diferencial de qualquer massa da fossa posterior em crianças ou em adultos jovens.
Tomografia Computadorizada:
Meduloblastomas costumam aparecer como uma massa surgindo do vermis, resultando no apagamento do quarto ventrículo / cisternas basais e hidrocefalia obstrutiva. Eles também podem ocorrer mais lateralmente no cerebelo.
Ressonância Magnética:
- T1 hipointenso a massa cinzenta
- T1 C + (Gd) melhora geral de 90%, muitas vezes de forma heterogênea
- T2 / FLAIR em geral são iso a hiperintensos a matéria cinzenta heterogêneo devido à calcificação, necrose e formação de cisto edema circundante é comum
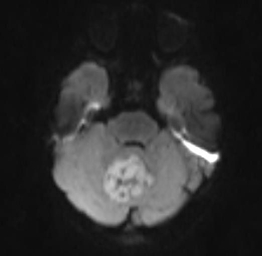
- DWI / ADC sinal DWI alto ("difusão restrita") valores de ADC baixos (cerebelo mais baixo do que o normal, por exemplo, ~ 550 x 10-6 mm2 / s)
A ressonância magnética é capaz de delinear o quarto ventrículo e o espaço subaracnóideo em um grau muito maior do que a TC. Embora os meduloblastomas se projetem para o quarto ventrículo, ao contrário dos ependimomas, eles geralmente não se estendem para as cisternas basais
Espectroscopia MR
- colina elevada e NAA diminuído
Como a disseminação do LCR é comum na apresentação, a imagem com contraste de todo o neuroeixo é recomendada para identificar as metástases em gotas e a disseminação leptomeníngea. Embora rara, há relatos de disseminação extraneural.
Predição de subgrupo molecular por imagem:
A localização é a chave para esta abordagem, sendo assim:
Pedúnculo cerebelar :muito provável subgrupo WNT e, portanto, melhor prognóstico
Hemisfério cerebelar - muito provável subgrupo SHH e, portanto, prognóstico intermediário, provável desmoplásico / nodular / meduloblastoma com extensa nodularidade (MBEN)
Linha média: pode ser grupo 3, grupo 4 ou SHH.
Bebês com um tumor com margens mal definidas, mas realce proeminente: provável grupo 3 (ou SHH) e, portanto, pior prognóstico
Crianças com um tumor com margens bem definidas, mas leve ou sem realce: provável grupo 4 e, portanto, prognóstico ligeiramente melhor
Adultos com tumores de definição variável e aumento variável: provavelmente SHH; hemorragia aumenta a probabilidade do grupo 4 .
Em relação a espectroscopia de RM
:
Grupo 3 ou 4: pico taurino e alta creatina
SHH: pouca ou nenhuma taurina e baixo teor de creatina
Tratamento e prognóstico:
O tratamento geralmente consiste em ressecção cirúrgica, radioterapia e quimioterapia. Em geral, os tumores são bastante radiossensíveis.
O prognóstico é mais fortemente influenciado pelo subtipo molecular:
- WNT: muito bom
- SHH: bebês bons, outros intermediários
- Grupo 3: pobre
- Grupo 4: intermediário
Tradicionalmente, e ainda relevante além das características moleculares, o prognóstico é considerado ruim se for jovem ao diagnóstico (<3 anos), ressecção cirúrgica incompleta (> 1,5 cm3 residual) e presença de metástases no LCR no momento do diagnóstico; comum em bebês e crianças (~ 25%) e incomum em adultos (~ 2%) .
As características histológicas também têm um efeito no prognóstico com histologia desmoplásica e nodular tendo uma perspectiva melhor do que células grandes ou características histológicas anaplásicas .
A expressão do oncogene c-erbB-2 (HER2 / neu) é útil no estadiamento de meduloblastomas. O aumento da expressão de c-erbB-2 reflete um aumento na atividade proliferativa de um tumor.
Sem metástases no LCR, ressecção cirúrgica completa e expressão negativa de c-erbB-2: sobrevida em 5 anos de 100%
Sem metástases no LCR, ressecção cirúrgica completa e expressão de c-erbB-2 positiva: sobrevida em 5 anos de 54%
Metástases no LCR e / ou ressecção cirúrgica incompleta: sobrevida de 5 anos 20%
Diagnóstico diferencial:
Na população pediátrica, considerar:
- Ependimoma: geralmente surge do assoalho do 4º ventrículo, comprime o forame de Luschka e não causa tanta restrição de difusão.
- Tumor teratóide / rabdóide atípico: crianças muito pequenas, considerado agressivo
- Astrocitoma pilocítico: geralmente cístico
- Glioma de tronco cerebral (exofítico)
- Papiloma do plexo coróide (PPC): mais comum nos ventrículos laterais em crianças
Na população adulta, considerar:
- Metástase cerebelar
- Hemangioblastoma
- Papiloma do plexo coróide
- Ependimoma
Referências Bibliográficas:
1-http://www.rb.org.br/detalhe_artigo.asp?id=1097&idioma=Portugues
2-https://radiopaedia.org/articles/medulloblastoma
3-https://www.scielo.br/scielo.php?script=sci_arttext&pid=S0004-282X2000000100012&lng=pt&nrm=iso
4-http://www.uel.br/revistas/uel/index.php/seminabio/article/viewFile/18615/17303
5-https://go.gale.com/ps/anonymous?id=GALE%7CA536244001&sid=googleScholar&v=2.1&it=r&linkaccess=abs&issn=01204874&p=IFME&sw=w
Autores:
Dra. Camila S. de Oliveira, Dr. Rafael Gouvêa Gomes de Oliveira















