[Caso Clínico] 25 de Março de 2025 - Cabeça e Pescoço
Masculino, 37 anos, Dor facial à direita!
Sinutise Odontogênica
A sinusite odontogênica descreve a inflamação do seio maxilar secundária a patologias dentárias ou procedimentos odontológicos, com consequente perfuração do assoalho do seio maxilar, sendo responsável por cerca de 10-40% dos casos de sinusite maxilar crônica, bem como a causa mais comum de sinusite maxilar unilateral.
Fisiopatologia
A sinusite odontogênica resulta da disseminação da infecção ou inflamação dos dentes para o seio maxilar por meio da perfuração da camada mucosa do assoalho do seio, e da ruptura da membrana de Schneiderian, caracterizada por perfuração maior ou igual a 4 mm, tendo como principais causas a infecção periapical, periodontite severa, perfuração do seio maxilar durante extrações dentárias ou implantes, e comunicação oroantal pós-exodontia.
Tal membrana é responsável pelo revestimento único da cavidade nasal e dos seios paranasais, sendo um epitélio colunar ciliado derivado ectodermicamente com células caliciformes.
A infecção causa inflamação e acúmulo de secreção mucopurulenta, levando à obstrução do óstio do seio maxilar e agravamento do quadro.
Sinais e sintomas
Dentre os principais sintomas, destacam-se dor facial unilateral, congestão nasal unilateral, rinorreia purulenta (geralmente fétida), sensibilidade na região maxilar, e possível fístula oral (em casos mais avançados).
Características de Imagens
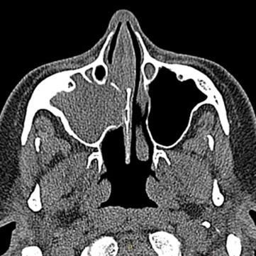
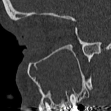
De forma geral, a sinusite odontogênica demonstra, em imagens de tomografia computadorizada, obliteração parcial ou total do seio maxilar afetado, além de espessamento da mucosa sinusal, nível líquido (sugestivo de infecção ativa), destruição ou erosão óssea do assoalho sinusal (sinal de origem odontogênica), lesão periapical associada a um dente posterior (principal achado diagnóstico), comunicação oroantral em casos de perfuração do seio, e até mesmo corpos estranhos, em casos de procedimentos odontológicos.
Diagnóstico Diferencial
Os diagnósticos diferenciais da sinusite odontogênica incluem condições que compartilham sintomas e achados de imagem semelhantes, mas possuem etiologias distintas.
A sinusite maxilar de origem não odontogênica, geralmente bilateral, está associada à infecções respiratórias ou rinites alérgicas, enquanto neoplasias do seio maxilar, como o carcinoma escamoso e linfomas, costumam apresentar destruição óssea mais agressiva e massas heterogêneas com realce pós-contraste na tomografia computadorizada.
Cistos odontogênicos, como o cisto radicular e o cisto dentrígero, embora possam ter proximidade maxilar, são lesões expansivas bem delimitadas, sem inflamação difusa.
Já os abscessos periapicais isolados restringem-se à região do dente afetado e não causam espessamento mucoso significativo no seio maxilar.
A diferenciação adequada por meio de tomografia computadorizada é fundamental para um diagnóstico preciso e um manejo terapêutico adequado.
Prognóstico
A sinusite odontogênica apresenta um prognóstico favorável quando diagnosticada e tratada precocemente, sendo que a resolução completa do quadro depende da eliminação da infecção dentária primária e da adequada drenagem do seio maxilar.
O tratamento conservador com antibioticoterapia e manejo odontológico geralmente é eficaz em casos iniciais, enquanto intervenções cirúrgicas podem ser necessárias em casos avançados ou refratários.
Complicações
Se não tratada corretamente, a sinusite odontogênica pode evoluir para complicações locais e sistêmicas, destacando-se a sinusite crônica, a formação de abscessos orbitários, a celulite orbitária e a osteomielite do osso maxilar.
Em casos mais graves, a infecção pode se disseminar para o sistema nervoso central, causando abscessos cerebrais ou trombose do seio cavernoso, condições potencialmente fatais.
Sendo assim, a identificação precoce de sinais de complicação, como edema periorbitário, proptose ocular e sintomas neurológicos, é essencial para a intervenção imediata e a redução do risco de sequelas.
Conclusões
Os dentes e suas estruturas de suporte são comumente incluídos em imagens de cabeça e pescoço. Quando variantes normais ou condições patológicas são identificadas na TC, os radiologistas podem fornecer assistência adicional identificando essas condições e incluindo-as em seu relatório. A capacidade de reconhecer e descrever condições dentárias, como cáries, doença periodontal e lesões periapicais, permite o encaminhamento oportuno a um especialista odontológico e tratamento definitivo precoce para evitar dor contínua, morbidade e perda dentária.
Diferenciar entre sinusite causada por vias de drenagem obstruídas e doença odontogênica é importante para direcionar os pacientes ao tratamento mais apropriado. A falha em identificar a fonte da doença odontogênica leva à sinusite recorrente após a cessação da terapia com antibióticos
Referência
ARTICLE Imaging Findings, Complications, and Mimics after Common and Advanced Dental Procedures, by the Radiological Society of North America, Inc, 2025 ; ARTICLE Teeth: What Radiologists Should Know, RSNA, 2012. ; https://radiopaedia.org/articles/odontogenic-sinusitis?lang=us
Autores
Dr. Lucas Giansante Abud, Dr. Caio Pedral Sampaio Sgarbi.














