[Caso Clínico] 11 de Abril de 2025 - Abdome
Feminino,67 anos, apresentando dor abdominal difusa, associada à perda ponderal e ascite.
Carcinomatose Peritoneal
A carcinomatose peritoneal é uma manifestação metastática relativamente comum de uma variedade de neoplasias malignas baseadas em órgãos, particularmente do trato gastrointestinal (colorretal, gástrico e pancreático) e dos ovários. As neoplasias primárias de origem peritoneal e subperitoneal ocorrem com muito menos frequência do que a doença metastática nesses locais; no entanto, eles são frequentemente detectados pela primeira vez na tomografia computadorizada (TC).
Os achados de imagem na carcinomatose peritoneal podem ser avassaladores, mas em alguns casos são muito sutis.
Isso explica por que a doença às vezes não é detectada e frequentemente subestimada.
Fisiopatologia
As células cancerígenas são transportadas pelo fluido peritoneal por todo o abdômen e pelve, resultando em metástases generalizadas. O fluido segue uma via de circulação da pelve ao diafragma que é definida pelos reflexos do peritônio.Tal membrana é responsável pelo revestimento único da cavidade nasal e dos seios paranasais, sendo um epitélio colunar ciliado derivado ectodermicamente com células caliciformes.
O líquido peritoneal é capaz de fluir para o andar superior, a partir da pelve, devido aos gradientes de pressão na cavidade abdominal. Normalmente, a pressão na região subdiafragmática é subatmosférica e diminui ainda mais durante a inspiração. O gradiente de pressão resultante, que está presente se o indivíduo está em decúbito dorsal ou ereto, ajuda no movimento do líquido peritoneal. O fluido entra nas goteiras paracólicas e, em seguida, se move para as regiões sub-hepática direita e subfrênica direita. A goteira paracólica esquerda é rasa e limitada superiormente pelo ligamento frenicocólico, que se estende da flexura esplênica do cólon até o diafragma. Consequentemente, a maior parte do fluido flui para a goteira paracólica direita.
Existem quatro recessos onde o fluxo de fluido peritoneal pode ser interrompido temporariamente e as células tumorais podem ser depositadas para formar implantes. Esses locais são o fundo de saco, o quadrante inferior direito, o cólon sigmóide e a goteira paracólica direita. Essas regiões são recessos dependentes onde a gravidade faz com que o fluido se acumule. A pelve é o local mais dependente, e o líquido é visto no fundo de saco da linha média e nos recessos paravesicais laterais. A bolsa de Morrison é uma extensão do espaço sub-hepático, e sua porção medial (lateral ao duodeno descendente e adjacente ao rim direito) também é um local dependente onde o líquido pode se acumular.
Sinais e sintomas
O principal sinal que pode ser percebido é a presença de ascite, presente em 70% dos casos, existem dois mecanismos principais que causam ascite:
A principal causa é a obstrução dos vasos linfáticos subfrênicos pela carcinomatose, o que significa que eles são incapazes de realizar sua função usual de drenagem do líquido peritoneal;
Também pode ocorrer em decorrência do excesso de produção de líquido peritoneal, resultante de um aumento da permeabilidade capilar, que é causado pelas células tumorais secretando o fator de permeabilidade vascular, com proteína e albumina se acumulando na cavidade abdominal.
Características de Imagens
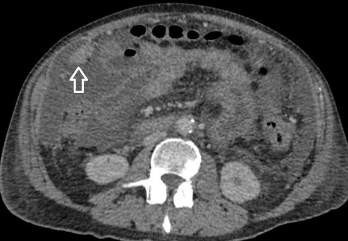
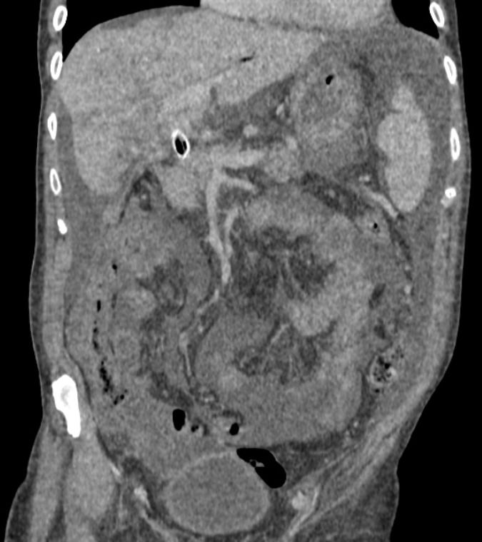
Os implantes peritoneais são massas de tecidos moles que aparecem como nódulos solitários ou múltiplos. Os nódulos podem coalescer para formar placas que revestem as vísceras. Essas placas aparecem como áreas de espessamento irregular dos tecidos moles. Grandes placas omentais são chamadas de bolos omentais (omental cake). Os implantes podem realçar com o contraste intravenoso e podem calcificar. Alguns implantes são de baixa atenuação e mimetizam fluido loculado. Os locais comuns de metástases incluem hemidiafragma direito, fígado, calha paracólica direita, intestino, omento e pelve.
No abdome, os implantes na superfície diafragmática aparecem como espessamento nodular ou semelhante a placa do diafragma. O envolvimento do fígado e do baço resulta em recorte da superfície por massas com menor atenuação do que o parênquima em exames com contraste. Os ligamentos falciforme, gastro-hepático e gastroesplênico podem parecer espessados e mostrar encalhe de tecidos moles. Os tumores podem ser vistos na porta hepática, fossa da vesícula biliar e saco menor e na superfície do estômago. Espessamento irregular e nodularidade ocorrem nas goteiras paracólicas. Há infiltração da gordura omental por tumor de atenuação de tecidos moles. Nódulos discretos também podem estar presentes e podem ser distinguidos do intestino porque não estão conectados às alças adjacentes. Massas de tecidos moles no intestino e no mesentério podem aderir as alças e causar obstrução intestinal. A obstrução intestinal é o tipo mais comum de morbidade secundária ao câncer de ovário, ocorrendo em 51% dos casos. As lesões mesentéricas aparecem como espessamento da raiz com um padrão estrelado e irradiado. A extensão da doença omental para a parede abdominal anterior resulta em massas periumbilicais.
Na pelve, os implantes podem envolver a superfície superior do sigmóide, o mesocólon sigmóide, os ligamentos uterossacrais laterais ao reto e a parede lateral pélvica, bexiga, fundo de saco, reto e canais inguinais. Semelhantes aos do abdome, esses implantes aparecem como espessamento e massas de partes moles.
Diagnóstico Diferencial
A doença peritoneal invasiva inclui mais do que apenas carcinomatose peritoneal. Há um grande número de diagnósticos diferenciais que devem ser reconhecidos com base em uma avaliação rigorosa das características da tomografia computadorizada e do contexto clínico. Embora não seja uma lista exaustiva, linfomatose peritoneal, especialmente linfoma de Burkitt e linfomas de grandes células (envolvimento concomitante de linfonodos retroperitoneais e um tumor), mesotelioma peritoneal maligno (exposição ao amianto), pseudomixoma peritoneal (recortado) e tuberculose peritoneal (linfonodos necróticos e calcificações) são os principais distúrbios que mimetizam a carcinomatose peritoneal.
Tratamento
Atualmente, uma combinação de cirurgia citorredutora (RSC) e quimioterapia intraperitoneal (HIPEC ou EPIC) é considerada a melhor opção terapêutica para pacientes com carcinomatose peritoneal. A introdução desses métodos melhorou significativamente a expectativa de vida dos pacientes. No entando, esses procedimentos extensos têm complicações significativas, como formação de fístula, obstrução e
vazamentos anastomóticos. A operação deve ser realizada em um grupo cuidadosamente selecionado de pacientes em bom estado geral, nos quais a citorredução ideal é viável.
Antes da cirurgia, 3 fatores principais devem ser considerados: a extensão do envolvimento peritoneal, a possibilidade de obter citorredução completa e a qualidade de vida pós-operatória. Não existem critérios universais para a inoperabilidade e, em cada caso, a decisão depende da experiência local. Portanto, o papel do radiologista não é apenas determinar a doença como ressecável ou irressecável, mas também apontar os achados que podem representar dificuldade técnica durante a cirurgia.
Conclusões
A TC desempenha papel fundamental no acompanhamento de pacientes acometidos por carcinomatose peritoneal não apenas para sua detecção, caracterização e estadiamento, mas também para orientar para o planejamento pré-operatório, bem como na determinação da elegibilidade de um paciente para cirurgia citorredutora e quimioterapia intraperitoneal. Um relatório radiológico preciso, que cobre todos os achados cruciais que potencialmente impedem a RSC, evita intervenções cirúrgicas desnecessárias e morbidade e mortalidade associadas. Tratamento alternativo, como quimioterapia neoadjuvante ou paliativa, pode ser oferecido a pacientes que não são passíveis de RSC e HIPEC.
Referência
Multidetector CT of Peritoneal Carcinomatosis from Ovarian Cancer Harpreet K. Pannu, Robert E. Bristow, Frederick J. Montz, Elliot K. Fishman, Published Online:May 1 2003https://doi.org/10.1148/rg.233025105
Primary Neoplasms of Peritoneal and Sub-peritoneal Origin: CT Findings Perry J. Pickhardt, Sanjeev Bhalla, Published Online:Jul 1 2005https://doi.org/10.1148/rg.254045140
Szadkowska MA, Pałucki J, Cieszanowski A. Diagnosis and treatment of peritoneal carcinomatosis - a comprehensive overview. Pol J Radiol. 2023 Feb 9;88:e89-e97. doi: 10.5114/pjr.2023.125027. PMID: 36910885; PMCID: PMC9995246.
A.D. Diop, M. Fontarensky, P.-F. Montoriol, D. Da Ines, CT imaging of peritoneal carcinomatosis and its mimics, Diagnostic and Interventional Imaging, Volume 95, Issue 9, 2014, Pages 861-872, ISSN 2211-5684, https://doi.org/10.1016/j.diii.2014.02.009.
https://radiologyassistant.nl/abdomen/peritoneum/peritoneal-carcinomatosis
Autores
Dra. Juliana Pilati Yamashita, Dr. Caio Pedral Sampaio Sgarbi, Dr. Lucas Giansante Abud, Dr. Rubens Pereira Moura Filho.













