[Caso Clínico] Abril de 2021 - Abdome
Feminino, 84 anos, queixa de dor abdominal
Diagnóstico
Íleo Biliar.
Definição
O íleo biliar é uma das possíveis complicações da colelitíase porém rara. Consiste na obstrução mecânica do intestino delgado por cálculo de origem biliar, mais frequente no íleo terminal. Na maioria dos casos a colelitiase é assintomática, sendo diagnosticada acidentalmente em exame de imagem. Dentre as complicações da colelitíase podemos citar a colecistite aguda, a pancreatite aguda biliar e a coledocolitíase, que são as mais comuns. Ainda pode ocorrer formação de fístula bileo-digestiva com passagem de cálculos para o intestino delgado. Cálculos maiores podem levar a obstrução intestinal, em geral em região de válvula ileo-cecal, sendo essa obstrução chamada de íleo-biliar.
Epidemiologia
O íleo biliar é uma afecção rara, responsável apenas por 0,5% das complicações da colelitíase. Dentre as causas de obstrução intestinal corresponde a apenas de 1 a 4%.
Fisiopatologia
O processo se inicia quando ocorre episódio de colecistite. O processo inflamatório pericolecístico é responsável pela formação de uma adesão entre a vesícula e o tubo digestivo, em geral duodeno, que evolui com uma fístula entre as estruturas. Nesse momento ocorre alívio dos sintomas do paciente, porém fica mantido pertuito para cálculos biliares migrarem pelo sistema digestivo. Esses cálculos podem ser impactados e causar obstrução. Classicamente, o local de impactação é o íleo-terminal, próximo a válvula ileocecal , e geralmente ocorre devido a cálculos maiores que 2 cm.
Apresentação Clínica
Ocorre geralmente em pacientes idosos com quadro de dor abdominal com alguns dias de evolução, com períodos intercalados de melhora e piora evoluindo com piora súbita da dor e síndrome de obstrução intestinal.
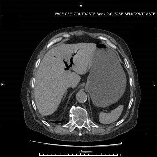
Achados de Imagem
- Pneumobilia - presença de ar nas vias biliares.
- Visualização do calculo no íleo terminal.
- Obstrução intestinal.
Diagnóstico Diferencial
Síndrome de Bouveret.
Tratamento
O tratamento do íleo biliar é cirúrgico, a partir da incisão do delgado para a retirada do cálculo (enterolitotomia). A colecistectomia bem como a correção da fístula deve ser realizada, porém em um segundo tempo cirúrgico, principalmente em pacientes com alto risco. Pacientes jovens e hígidos podem ser submetidos a ambos os procedimentos em um único tempo cirúrgico. É possivel que ocorram cálculos síncronos, por isso deve-se realizar a exploração de todo intestino a procura dos mesmos.
Referência
1- GUIMARÃES, Samuel; MOURA, Jose; PACHECO JR., Adhemar; SILVA, Rodrigo. Ileo biliar – uma complicação da doença calculosa da vesícula biliar. Revista Brasileira de Geriatria e Gerontoogia, Rio de Janeiro, v. 13, p. 159-163, 1 abr. 2010. Disponível em: https://www.scielo.br/pdf/rbgg/v13n1/a17v13n1.pdf. Acesso em: 7 abr. 2021
2 - GASTROINTESTINAL: Série Colégio Brasileiro de Radiologia e Diagnóstico por imagem. In: BLASBALG, Roberto; CAIADO, Angela; ORTEGA, Cinthia. Vesícula e Vias Biliares. 1ª. ed. Rio de Janeiro: Elsevier, 2011. cap. Vesícula e vias biliares, p. 419 - 454.
Autores
Renan Viacelli Toretto, Lara Macatrão Bacelar, Natieli de Natali Momesso.















