[Caso Clínico] Maio de 2021 - Tórax
Masculino, 76 anos, queixa de dispneia crônica com piora nos últimos 6 meses
Diagnóstico
Pneumoconiose.
Definição
A pneumoconiose se refere à um grupo de doenças relacionada à inalação de partículas, dentre elas, substâncias inorgânicas, metais pesados e sais orgânicos.
Epidemiologia
Estão relacionadas à exposição crônica geralmente laborais. É uma doença encontrada em trabalhadores de metalúrgicas, construtoras e minas. Os matérias mais comuns relacionados à pneumoconiose são a sílica, asbesto e metais pesados.
Fisiopatologia
O processo se dá apenas com partículas que possuem diâmetro de até 10 µm, pois são elas que têm a capacidade de atingir a via aérea inferior. Essas substâncias, o organismo pouco consegue combater com seus mecanismos de defesa imunológica e/ou leucocitária, diferentemente do que ocorre com microorganismos que podem ser fagocitados, digeridos ou destruídos pela ação de anticorpos e de células de defesa por meio das enzimas lisossomais e outros mecanismos.
Apresentação Clínica
Ocorre geralmente em pacientes idosos com quadro de dispneia de longa duração e de caráter progressivo, geralmente trabalhadores expostos há pelo menos 10 anos com o material envolvido.
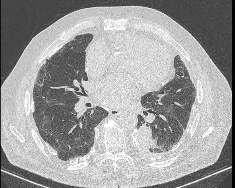
Achados de Imagem
- Placas calcificadas pleurais.
- Pneumopatia, podendo ou não estar associada à fibrose pulmonar.
- Atelectasia redonda..
Tratamento
O tratamento das pneumoconioses é geralmente com sintomáticos, utiliza-se mucolíticos, broncodilatadores e oxigenoterapia.
Referência
1- CAPITANI, Eduardo; ALGRANTI, Eduardo; Outras Pneumoconioses. Jornal Brasileiro de Pneumologia, Rio de Janeiro, v. 32, maio, 2006. Disponível em: https://www.scielo.br/j/jbpneu/a/F3XmcXpX6W9sZ6snFDF9qKD/abstract/?lang=pt
2 – CULLINAN, Paul; REID, Peter: Pneumoconiosis. Prim Care Respiratory Journal, v.22 2013, p. 249 - 252. Disponível em: https://www.ncbi.nlm.nih.gov/pmc/articles/PMC6442808/.
Autores
Dr. José Victor Monteiro Gimenes, Dr. Marcus Vinicius Valentin.














