[Caso Clínico] Junho de 2021 - Neuro
Lisencefalia
Lisencefalia
A lisencefalia inclui uma variedade de malformações cerebrais graves, incluindo agiria (giro ausente), paquigiria (giro amplo) e heterotopia de banda subcortical. Na lisencefalia (que significa literalmente cérebro liso), a superfície do cérebro parece lisa. Pode ocorrer isoladamente ou em associação com outras síndromes (síndrome de Miller-Dieker).
A lisencefalia é causada por um defeito na migração neuronal durante o desenvolvimento embrionário entre 12 e 24 semanas de gestação que resulta na ausência de desenvolvimento normal dos giros e sulcos cerebrais. Crianças com lisencefalia apresentam atrasos significativos no desenvolvimento e deficiência mental, mas variam de criança para criança, dependendo do grau de malformação cerebral.
Fisiopatologia
As causas genéticas e não genéticas levam a uma deficiência na migração dos neurônios recém-formados para a superfície do cérebro, resultando em um defeito estrutural no córtex cerebral, além do número reduzido de camadas celulares no córtex.
Sinais e sintomas
A lisencefalia tem diferentes níveis de gravidade e sintomas.
Os sintomas podem incluir convulsões, dificuldade de alimentação, espasmo muscular, deficiência mental, deficiência psicomotora grave, deficiência de crescimento, atrasos no desenvolvimento e, às vezes, anomalias nas mãos, dedos ou dedos dos pés. No entanto, algumas crianças podem desenvolver-se normalmente com uma dificuldade de aprendizagem leve.
A epilepsia se desenvolve no primeiro ano de vida em 9 entre 10 casos de lisencefalia.
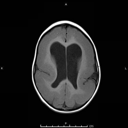
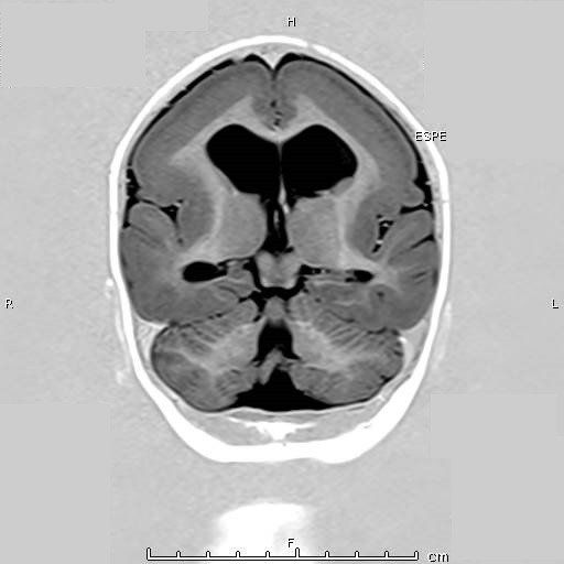
Características de Imagens
O manejo de crianças com lisencefalia é sintomático e de suporte. O tratamento visa melhorar a ingestão de nutrientes em pacientes com dificuldades alimentares e o uso de anticonvulsivantes para prevenir ou controlar as convulsões. O aconselhamento genético geralmente é oferecido às famílias das crianças afetadas, juntamente com estudos genéticos.
Diagnóstico Diferencial
Existem mais de 20 tipos de lisencefalia, a maioria deles estão listados em 2 categorias principais: lisencefalia clássica (Tipo 1) e lisencefalia Cobblestone (Tipo 2).
Cada categoria compartilha apresentações clínicas semelhantes, mas diferentes mutações genéticas.
O exame do cérebro na lisencefalia tipo I mostra um córtex cerebral com quatro camadas em vez de seis camadas, como em pacientes normais, enquanto na lisencefalia tipo 2 o córtex cerebral é desorganizado e parece enrugado ou nodular devido ao deslocamento completo do córtex cerebral com agrupamentos de neurônios corticais separados por tecido glio-mesenquimal. Os pacientes também apresentavam anormalidades musculares e oculares.
Lisencefalia clássica (tipo 1):
- LIS1: lisencefalia isolada e síndrome de Miller-Dieker (lisencefalia associada a dismorfismo facial)
.- LISX1: mutação do gene DCX. Em comparação com a lisencefalia causada por mutações LIS1, DCX mostra um córtex de seis camadas em vez de quatro
.- Lisencefalia isolada sem outros defeitos genéticos conhecidos
.Lisencefalia tipo Cobblestone (tipo 2)
:- Síndrome de Walker-Warburg
.- Síndrome de Fukuyama
.Outros tipos que não podem ser classificados em um dos dois grupos mencionados acima
:- LIS2: Síndrome de Norman-Roberts, semelhante à lisencefalia tipo I ou síndrome de Miller-Dieker, mas sem deleção do cromossomo 17
.- LIS
3- LISX
2- Microlisencefalia: É uma combinação entre a ausência do dobramento normal do córtex cerebral com uma cabeça de dimensões reduzidas.
Prognóstico
O prognóstico varia de acordo com a gravidade da síndrome. A expectativa de vida é curta e muitos morrerão antes dos 10 anos. A causa mais comum de morte entre pacientes com lisencefalia é broncoaspiração e doença respiratória.
A lisencefalia pode afetar algumas áreas do cérebro de uma forma mais grave do que em outras. O gradiente de gravidade depende do tipo de lisencefalia e das mutações genéticas.
Complicações
Cada caso é diferente, mas as complicações mais comuns em pacientes com lisencefalia são problemas respiratórios, dificuldade de alimentação e convulsões.
Referência
Kattuoa Ml, M Das J. Lissencephaly. Atualizado em 13 de outubro de 2020. Em: StatPearls. Treasure Island (FL): StatPearls Publishing. Janeiro de 2021. Disponível em: https://www.ncbi.nlm.nih.gov/books/NBK560766/.
Autores
Dr. Lucas Galvani, Dr. Felipe Anjos, Dra. Cecília Miyake.














