[Caso Clínico] Julho de 2021 - Pescoço
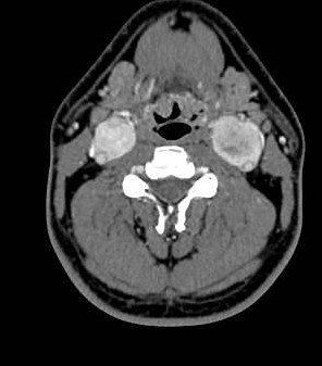
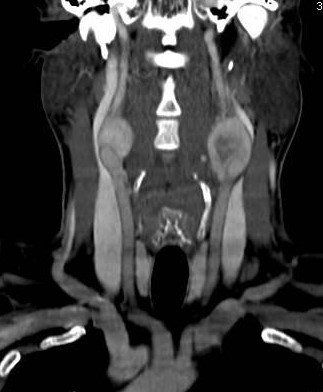
Masculino, 42 anos, Lesões expansivas nas bifurcações carotídeas.
Diagnóstico
Paraganglioma Carotídeo.
Definição
Os paragangliomas (tumores glômicos, glomus) são lesões originarias das células parangaglionicas da crista neural. São tumores pouco frequentes, benignos, de crescimento lento e extremamente vascularizamos. Suas principais localizações no espaço carotídeo são: na bifurcação carotídea, em torno do gânglio do nervo vago, junto a base do crânio, no bulbo jugular e comprometendo simultaneamente a orelha média e bulbo jugular.
Epidemiologia
Sua incidência costuma ser entre 40 e 50 anos e tem uma predileção pelo sexo feminino. São o tipo mais comum de paraganglioma (60-70%) e 10% dos casos são bilaterais.
Cerca de 10% dessas lesões apresentam transformação maligna, 10% são secretores de catecolaminas e 10% estão associados a um padrão de herança autossômica dominante ou fazem parte de uma síndrome de neoplasia endócrina múltipla.
Sua mortalidade chega a 30% quando nenhum tratamento é empregado ao tumor do corpo carotídeo.
Apresentação Clínica
Suas principais queixas são presença de massa cervical de crescimento lento, consistente, não compressível e indolor, podendo também causar sintomas inespecíficos em 70% dos paciente como dor, disfonia, disfagia, dispnéia, sensação de pressão no ângulo da mandíbula, zumbido pulsátil, cefaleia e síncope.
Características de Imagens
• TC: Lesão de partes moles mal delimitada e ricamente vascularizara, com destruição permeativa das estruturas ósseas adjacentes, apresentando realce intenso no exame contrastado.
• RM: Sinal intermediário nas sequências ponderadas em T1 e hipersinal nas imagens ponderadas em T2, observando-se frequentemente imagens serpinginosas de ausência de sinal dentro da lesão em todas as sequências de imagem, característica da presença de vasos dominantes, associados a focos hemorrágicos, intratumoral, representados por focos de alto sinal (aspecto de sal e pimenta - identificação de vasos calibrosos no interior do tumor). O uso do contraste paramagnético evidencia sua hipervascularização.
Diagnósticos Diferenciais
O mais importante é o Schwannoma hipervascular, podendo ser também linfonodomegalia, cisto branquial, neoplasia da glândula parótida, neoplasia da tiroide, neurinoma, aneurisma da artéria carótida, nódulo tuberculoso ou outras metástases tumorais.
Tratamento
O tratamento de escolha é a ressecção cirúrgica podendo ter indicação de embolização prévia por meio de arteriografia.
Referências
ESPAÇOS cervicais supra-hioides e infra-hioides: espaço carotídeo - tumores benignos. In: CABEÇA e pescoço. 1. ed. [S.L.]: Elsevier, 2017. cap. 17, p. 649-650.
CABEÇA e pescoço: Base do crânio. In: RADIOLOGIA diagnóstica e prática: Manual da Residência do Hospital Sírio-Libanês. 1. ed. [S.L.]: Manole, 2017. cap. 2, p. 725-726.
PARAGANGLIOMA de corpo carotídeo: Análise de casos publicados no Brasil nos últimos 10 anos. Revista de Angiologia de Cirurgia Vascular, Sociedade Brasileira de Angiologia e de Cirurgia Vascular-Regional do Rio de Janeiro, ed. 2, p. 22-30, 2017.
Autores
Dra Cecilia Miyake, Dra Ingrid Krichenko, Dra Maria Eduarda Pimentel Jabali.



















