[Caso Clínico] Março de 2021 - Abdome
Paciente feminina, 23 anos comparece ao pronto socorro com dor abdominal difusa, náusea e vômitos. História de cirurgia bariátrica prévia.
 
Diagnóstico
Intussuscepção intestinal.
Definição
É uma causa importante de obstrução intestinal delgado em crianças, mas é menos comum em adultos e consiste em invaginação do intestino proximal para dentro da luz intestinal distal. 
A porção invaginada é denominada intussuscepto e o intestino que o recebe é denominado intussuscepiente.
Epidemiologia
Predominância no sexo masculino (2:1). Sendo a grande maioria das intussuscepções ocorre em crianças (95%), geralmente após os primeiros três meses de vida. Embora comum na população pediátrica, é rara em adultos, sendo que apenas 5% de todos os casos de intussuscepção ocorrem nesta faixa etária e dessas, somente 1% com obstrução intestinal e pode ocorrer após intervenções cirúrgicas ou pode ser uma complicação de condições que provocam espessamento da parede intestinal.
Fisiopatologia
A intussuscepção ocorre quando o segmento proximal do intestino telescopa dentro do segmento distal. Geralmente localiza-se entre segmentos que se movimentam livremente e segmentos retroperitoneais ou fixados por aderência. Diante disso, o mesentério pode ser incluído no intussepto e causar prejuízo do fluxo sanguíneo local, podendo causar isquemia e necrose da porção intestinal acometida. 
Quanto a localização, pode ser classificado em três categorias principais: enteroentérica, colo-cólica e íleo-cólica.
Enquanto em crianças cerca de 90% dos casos são de etiologia idiopática, entre adultos a etiologia é definida em 90% dos casos, sendo que a causa mais frequente está relacionada à presença de tumores intestinais ou pode ser uma complicação de condições que provocam espessamento da parede intestinal, tais como púrpura de Henoch-Schoelein ou fibrose cística. 
Em casos de intussuscepção relatada em pós-operatório a etiologia mais comum esta relacionada à presença de sutura intestinal e aderências.
Apresentação Clínica
Em adultos a clinica geralmente não é específica, e os sintomas incluem distensão abdominal, náusea, vômito, alteração do hábito intestinal e fezes em “geleia-de-framboesa”.
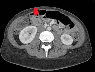
Achados de Imagem
O diagnostico pode ser efetuado com radiografia simples, ultrassonografia, tomografia computadorizada e enema baritado ou com gás/solução salina. Alguns desses métodos também proporcionam terapia desta condição. 
Nas radiografias abdominais podem mostrar níveis hídricos, dilatação das alças intestinais e em aproximadamente 50% dos casos, a cabeça do intussuscepto é visível como efeito de tecidos moles ao longo do cólon. 
A ultrassonografia é uma modalidade de exame muito efetivo e confiável para a demonstração da intussuscepção. Caracteristicamente, uma massa cilíndrica é observada, consistindo em um anel hipoecoico externo que circunda tecidos com ecogenicidade variável e representam as camadas do intestino edemaciadas que se alternam com camadas do mesentério conhecido como “sinal do alvo”. Outros sinais incluem sinal de donut e pseudo-rim. A ultrassonografia com Doppler tem sido utilizada para estimar a viabilidade do tecido. 
Na tomografia computadorizada é possível visualizar no plano axial as camadas duplicadas do intussuscepto e intussuscepiente, formando anéis concêntricos, sendo tal achado característico do “sinal do alvo”, descrito na ultrassonografia. No plano coronal, possivelmente pode ser visualizado a imagem conhecida como “salsicha“ de tecido mole. No exame contrastado a porção proximal da instussuscepção realçará dois anéis concêntricos. Esse achado equivale as paredes do intestino interno e a borda do intestino externo. À medida que a imagem avança pela tomografia, o mesentério formara um crescente de tecido comprimindo o lúmen interno.
Diagnóstico Diferencial 
 
O principal diagnostico diferencial é a intussuscepção transitória, ocorrendo com maior frequência no intestino delgado. É de comprimento curto, discretamente ecogênico pela ultrassonografia. 
Outros diagnósticos diferenciais incluem divertículo de Meckel, íleo de cálculo biliar, tumor de intestino primário, metástase e linfoma.
Tratamento
A redução por enema é realizada por contraste hidrossolúvel ou ar sob pressão, tendo taxa de redução da intussuscepção na faixa de 80% a 90% dos casos. Se a redução por enema não for bem sucedido, geralmente é necessária intervenção cirúrgica. 
Em adultos geralmente é necessário laparotomia, porque na maioria dos casos existe um ponto inicial que requer tratamento.
Referência
1- Brant, Willian E. et al. Fundamentos de Radiologia : Diagnóstico por imagem. 4.edição. Rio de Janeiro; Guanabara Koogan, 2015. 
2- RASULI, Bahman, et al. Intussusception. Radiopaedia, 2020. Disponível em: https://radiopaedia.org/articles/intussusception. 
3- SILVA, Nayara Moraes G. et al. Relato de caso de intussuscepção em adulto por adenocarcionoma. Journal de Coloproctology. Vol. 37, pag 81. 2017.
Autores
Rafael Nunes Chagas Brito 
Guilherme Nunes Chagas Brito
Mayara Pimenta Lima
















