[Caso Clínico] Fevereiro de 2021 - Tórax
Dissecção de Aorta - Masculino, 62 anos, dor torácica
Diagnóstico
Dissecção de aorta toraco-abdominal.
Definição
Lesão da intima na parede de um vaso anormalmente enfraquecida, com entrada de fluxo sanguíneo na camada média proximal e distal.
Classificação de Stanford
Tipo A: envolve a aorta ascendente e pode ou não envolver arco e descendente.
Tipo B: envolve exclusivamente a aorta descendente (segmento distal à subclávia esquerda).
Epidemiologia
Mais comum em homens idosos, estando relacionada a hipertensão arterial sistêmica (HAS) em 70% dos casos. Outros fatores de risco são: desordens do colágeno geneticamente mediadas, presença de valva aórtica bivalvulada, presença de aneurisma de aorta prévio e cirurgia cardíaca prévia.
Fisiopatologia
A dissecção da aorta pode ter etiologia degenerativa, estar associada às desordens do colágeno geneticamente mediadas ou estar relacionada a insulto traumático de aceleração e desaceleração, ou de instrumentação iatrogênica.
A necrose cística da camada média é o substrato anatomopatológico comum e é considerada o pré-requisito para a ruptura intimal ou hemorragia da média. 50 a 65% das lesões da intima são encontradas na aorta ascendente próximas da junção sinotubular.
Apresentação Clínica
Seus sintomas e sinais dependem da extensão da dissecação e das estruturas acometidas. Ela se apresenta, de modo geral, com dor torácica anterior de início súbito, intensidade severa, hipertensão, dispneia. Podendo também apresentar hipotensão com instabilidade hemodinâmica como resultado de insuficiência aórtica aguda, tamponamento cardíaco, hemorragia, isquemia miocárdica ou da compressão da luz verdadeira do vaso.
Achados de Imagem
A radiografia de tórax tem valor limitado no diagnóstico de dissecção. O método de escolha é a angiotomografia, que praticamente substitui a angiografia no diagnóstico e acompanhamento das complicações em pacientes com suspeita de dissecção de aórtica. O valor da RM é limitado ao acompanhamento de pacientes com dissecção crônica estável.
O protocolo de exame da angiotomografia inclui uma fase sem contraste com extensão da croça à bifurcação da aorta, útil para o diagnóstico de hematoma intramural e de derrames hemorrágicos (pleural, pericárdico ou mediastinal). Outro indicio de dissecção é o deslocamento luminal de calcificações parietais devido à presença de hematoma intramural ou de falsa luz.
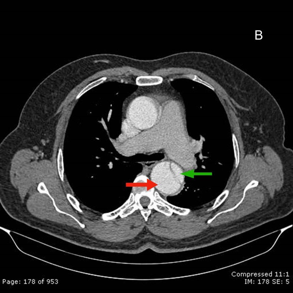
O diagnóstico de dissecção baseia-se na identificação do flap intimal, que se apresenta como uma fina membrana separando a luz falsa da verdadeira. A sensibilidade e a especificidade da angiotomografia em visualizar o flap intimal são superiores a 95%.
Após o diagnóstico de dissecção é necessário localizá-la, definindo o envolvimento de ramos aórticos, e identificar fatores agravantes relacionados com a própria aorta e os seus ramos e órgãos relacionados.
A. Localização:
A localização é o principal fator determinante do tratamento. Habitualmente o acometimento da aorta ascendente (tipo A de Starford) indica tratamento cirúrgico pelo risco de complicações fatais, enquanto dissecções com inicio distal à artéria subclávia esquerda (tipo B de Stanford) usualmente tem tratamento conservador na ausência de complicações.
O acometimento da aorta ascendente ocorre em 50% a 75% das dissecções, as quais devem ser corrigidas imediatamente a fim de evitar complicações fatais, como extensão a artérias coronárias, valva aórtica, pericárdio ou pleura. Lacerações intimais podem ser de difícil identificação na aorta ascendente próximo á valva aórtica. A sensibilidade de sua detecção esta aumentada pela maior resolução temporal dos tomógrafos multislice, que diminuem os artefatos de movimento na raiz da aorta.
Na dissecção tipo B, o flap intimal habitualmente localiza-se logo após a emergência da artéria subclávia esquerda. É importante localizar os sítios de laceração porque a cirurgia e os procedimentos de colocação de prótese objetivam a oclusão das lacerações para induzir a formação de trombo na luz falsa.
B. Definição das luzes verdadeiras e falsa:
A dissecção usualmente progride de forma anterógrada ate seu termino em um ponto de reentrada, no entanto também pode haver dissecção retrograda.
As luzes verdadeira e falsa usualmente apresentam padrão helicoidal que gira em torno do eixo da aorta, o que não ocorre nos hematomas intramurais e nos trombos intraluminais.
Alguns aspectos ajudam a definir as luzes verdadeira e falsa:
- A luz falsa com frequência tem área transversal maior devido ao fluxo lento.
- A luz verdeira encontra-se comprimida em 80% dos caos.
- A falsa luz tem maior propensão à trombose.
- O fluxo sanguíneo lento leva a retardo na opacificação da luz falsa no inicio da hélice, com opacificação prolongada em direção ao término.
- Quando uma luz envolve a outra, a luz interna invariavelmente é a verdadeira.
- Calcificações na parede da aorta não permitem a separação das duas camadas; assim, sua presença indica a intima da luz verdadeira, em se tratando de dissecção aguda.
- A eventual calcificação da intima dissecada encontra-se na face voltada à luz verdadeira.
- Sinal do bico: ângulo agudo formado na junção da intima dissecada e a parede da falsa luz.
C. Definição da origem dos ramos aórtico:
A tomografia multislice tem resoluções espacial e de contraste confiáveis para estudo do suprimento dos ramos aórticos, ou seja, se originários da luz verdadeira ou da luz falsa.
D. Pesquisa de complicações:
Isquemia: mais de um terço dos pacientes com dissecção aórtica apresenta sinais ou sintomas secundários ao envolvimento de outro órgão. O principal mecanismo é o desenvolvimento de isquemia secundaria ao acometimento de um ramo arterial. Isquemia cerebral associada a envolvimento dos troncos supra-aórticos ocorre em 5% a 10% dos pacientes e secundaria à obstrução de um ramo aórtico abdominal (tronco celíaco, artérias mesentéricas superior e inferior e renais), em até 27% das dissecções. Existem dois mecanismo principais de envolvimento de um ramo visceral: estático, quando o flap intimal intercepta ou entra na origem do ramo, e dinâmico, quando o flap intimal poupa o ramo, mas prolapsa e oblitera a sua origem. Esses mecanismos devem ser distinguidos por terem tratamentos distintos. O da estática se dá por meio da colocação de stent, e o do dinâmico, de fenestrações no flap intimal para reduzir a pressão na falsa luz. Os sinais secundários de má perfusão podem ser observados nos rins e no intestino.
Formação de aneurisma: a luz falsa tende a aumentar de diâmetro em função da alta pressão intraluminal e da estabilidade reduzida da parede, determinando a formação de aneurisma com risco de ruptura. Os segmentos ascendentes e descendentes da aorta são acometidos com maior frequência.
Ruptura aórtica: o risco de ruptura aórtica em pacientes com disseção proximal não tratada é de aproximadamente 90%.
E. Presença de fenestrações:
São comunicações secundarias entre as luzes falsas e verdadeira, importantes na reperfusão da falsa luz e, consequentemente, de seus ramos no caso de obliteração terapêutica da laceração intimal proximal.
Diagnósticos Diferenciais
IAM, aneurisma da aorta não-dissecante, síndrome isquêmica miocárdica ou cerebral aguda, TEP, endocardite infecciosa com insuficiência aórtica aguda, pericardites, pneumotórax hipertensivo, ruptura do esôfago, tumor de mediastino.
Tratamento
Inicialmente, o tratamento clínico é baseado no controle da dos, frequência cardíaca e pressão arterial, visando diminuir, principalmente, a propagação da dissecção. Assim que diagnosticada a extensão da dissecção, o tratamento ideal seria o reparo cirúrgico imediato.
Referência
DISSECÇÃO de aorta: Diagnóstico diferencial e manejo. Informações e Conhecimento para a Saúde, bvsalud.org, p. 1-9, 2018.
DISSECÇÃO de aorta: Manejo clínico e cirúrgico. Revista da SOCESP, [s. l.], p. 260-266, 2018.
GASTRO-INTESTINAL aorta: doenças não traumaticas agudas da aorta. In: RADIOLOGIA diagnóstica e prática: Manual da Residência do Hospital Sírio-Libanês. 1. ed. [S. l.]: Manole, 2017. cap. 20, p. 390-393.
DOENÇAS vasculares: Aorta torácica e seus ramos. In: TÓRAX. 2. ed. [S. l.]: Elsevier, 2017. cap. 5, p. 170-175
Autores
Dr Rafael Gouvea Gomes de Oliveira, Dra Ingrid Krichenko, Dra Maria Eduarda Pimentel Jabali.















