[Caso Clínico] Janeiro de 2021 - Neuro
Neuro
Introdução
A encefalopatia de Wernicke, também conhecida como síndrome de Wernicke-Korsakoff, é uma forma de deficiência de tiamina (vitamina B1) e é normalmente observada em alcoólatras.
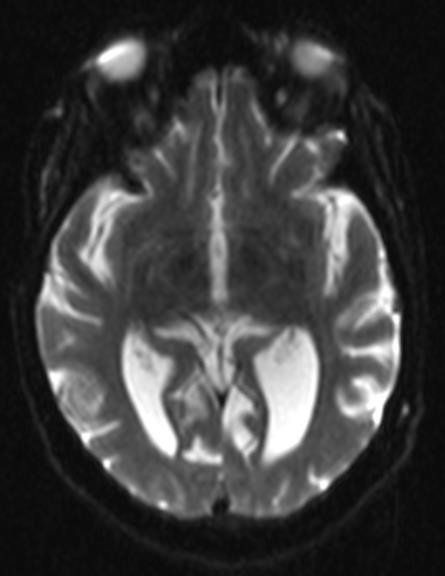
É comumente visto na RNM como áreas de aumento simétrico de sinal T2 / FLAIR envolvendo os corpos mamilares, tálamo dorsomedial, placa tectal, área periaquedutal e ao redor do terceiro ventrículo.
Apresentação clínica
Foi originalmente caracterizada pela tríade clássica (16% dos pacientes):
-confusão aguda
-ataxia
-oftalmoplegia (mais comumente nistagmo horizontal e paralisia do olhar conjugado)
A encefalopatia de Wernicke pode evoluir para a forma crônica de deficiência de tiamina conhecida como psicose de Korsakoff, caracterizada por:
-perda de memória (amnésia global)
-confabulação
Os dois sintomas são frequentemente associadas para formar a síndrome de Wernicke-Korsakof.
Patologia
A tiamina desempenha um papel essencial no funcionamento correto das vias bioquímicas do cérebro. A sua deficiência resulta de desnutrição ou má absorção, que pode ocorrer por uma série de razões:
- abuso de álcool (até 90% em países industrializados)
- fome / jejum
- nutrição parenteral total prolongada sem suplementação
- cirurgia pós-bariátrica
- hiperemese gravídica
- malignidade gastrointestinal
- diálise crônica.
Características radiográficas
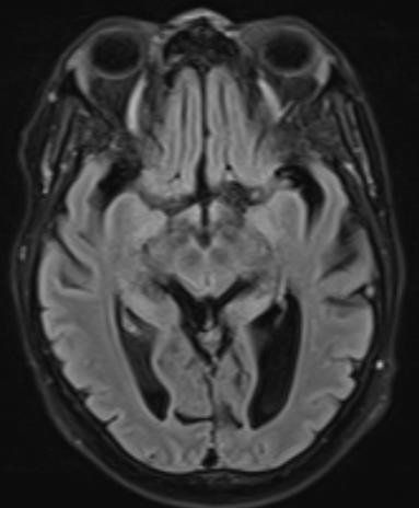
Nos estágios agudos, hemorragia, necrose e edema podem estar presentes. Nos estágios crônicos, alterações atróficas podem estar presentes, principalmente, envolvendo os corpos mamilares. A ressonância magnética é considerada o método mais relevante para a confirmação do diagnóstico, com 53% de sensibilidade e 93% de especificidade.
CT
Geralmente normal.
RNM
T2 / FLAIR: intensidade de sinal simetricamente aumentada nos:
-corpos mamilares
-tálamo dorsomedial
-placa tectal
-substância cinzenta periaquedutal
-em torno do terceiro ventrículo
T1 C + (Gd): realce de contraste também pode ser visto nas mesmas regiões, mais comumente dos corpos mamilares
DWI / ADC: difusão restrita também pode ser vista nas mesmas regiões
Espectroscopia de RM: pode mostrar NAA (N-acetil-aspartato) diminuído ou normal com a presença notável de lactato.
Diagnósticos Diferenciais
Doença de Leigh: corpos mamilares não envolvidos
Encefalopatia induzida por metronidazol: núcleos dentados, núcleos de nervos cranianos e esplênio também envolvidos.
Tratamento e prognóstico
O tratamento da síndrome de Wernicke-Korsakoff aguda é com cloridrato de tiamina intravenoso, junto com outras vitaminas / minerais e o tratamento da causa subjacente (por exemplo, cessação do álcool). Sem tratamento, há alta mortalidade de até 20%.
Referências
https://radiopaedia.org/articles/wernicke-encephalopathy?lang=us
https://www.rb.org.br/detalhe_artigo.asp?id=2603
Autores
Dr. Felipe Amsterdam Maia de Sandres, Dr. Rafael Gouvea Gomes de Oliveira, Dr. Társio Amaral Oliveira.













