[Caso Clínico] Novembro de 2020 - Abdome
Diverticulite Aguda Pefrurada
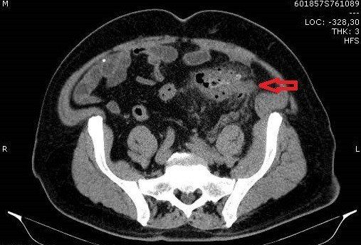
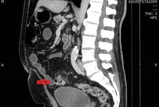
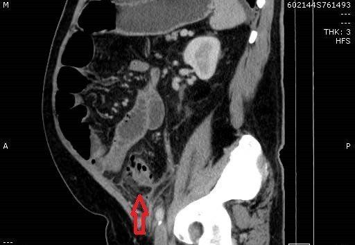
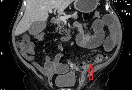
TC de abdome com contraste endovenoso fase excretora, evidenciando sinais de diverticulite aguda caracterizados por espessamento parietal do colon sigmoide, divertículos, densificação da gordura regional e presença de pequeno gás extraluminal, indicando pneumoperitônio discreto. Não há evidência de coleções pericolonicas associadas.
Introdução
A diverticulite colônica (diverticulites plurais) é uma complicação da diverticulose colônica e uma das apresentações da doença diverticular. Diferenciar um do outro é fundamental, uma vez que a diverticulose não complicada é principalmente assintomética e a diverticulite aguda é potencialmente fatal.
Na imagem, a diverticulite não complicada é caracterizada por filamento de gordura focal adjacente a um divertículo do cólon, geralmente o sigmóide. Uma pequena quantidade de líquido extraluminal e lóculos de gás podem estar presentes.
A diverticulite aguda dos cólons (DAC) é a complicação mais comum da doença diverticular, sendo estimado que até 25% dos pacientes apresentarão quadro de abdome agudo inflamatório desta causa ao longo da vida, sendo os idosos o grupo de maior risco.
Os exames de imagem têm papel crucial para o adequado manejo da DAC. Entre eles, a tomografia computadorizada (TC) é considerada o método de escolha pelos protocolos da Sociedade Americana de Coloproctologia, por permitir rápido diagnóstico, com acurácia superior a 90%.
Patologia
A diverticulose consiste em pseudodivertículos, causados por herniações da mucosa intestinal através de pontos de fragilidade da parede da borda mesentérica das alças de intestino delgado. O cólon sigmóide possui a maior pressão intraluminal e o calibre mais estreito, sendo, portanto, o local mais comum de formação de divertículos. A diverticulite é o resultado da obstrução do colo do divertículo, com subsequente inflamação, perfuração e infecção. As alterações iniciais do flegmão inflamatório local podem progredir posteriormente para a formação de abscesso e peritonite generalizada.
Apresentação Clínica
Os sintomas de diverticulite colônica geralmente começam na fossa ilíaca esquerda com dor persistente e sensibilidade concomitante. A dor é acompanhada por febre, leucocitose e alteração da evacuação. Uma massa mal definida também pode ser palpável representando o flegmão inflamatório. A avaliação clínica isolada pode ser insuficiente no diagnóstico inicial de diverticulite e a evidência radiológica de inflamação é necessária para o diagnóstico definitivo.
À medida que a doença progride e se torna mais generalizada (estágio III e IV ), os sinais e sintomas também se tornam generalizados e indistinguíveis de outras causas de peritonite generalizada.
Classificação de Hinchey de Diverticulite Aguda:
Edward John Hinchey et al. propôs uma classificação para diverticulite aguda (em qualquer lugar ao longo do intestino, não apenas no cólon)
estágio Ia: flegmão
estágio Ib: diverticulite com abscesso pericólico ou mesentérico
estágio II: diverticulite com abscesso pélvico isolado
estágio III: diverticulite com peritonite purulenta generalizada
estágio IV: diverticulite com peritonite fecal generalizada.
Características Radiográficas
Embora a TC seja a modalidade de escolha para o diagnóstico e estadiamento da diverticulite colônica com uma sensibilidade de 94% e especificidade de 99%, um estudo ultrassonográfico dedicado pode ser capaz de caracterizar com segurança essa condição.
Ultrassom
Divertículos são caracterizados como uma bolsa para fora do intestino brilhante (também referido como "orelhas" brilhantes do intestino) mostrando algum grau de sombra acústica devido à presença de gás ou fezes inspissadas
Gordura ecogênica e não compressível, sugerindo um processo inflamatório dos planos de gordura circundantes
Parede intestinal espessada (> 4 mm)
Presença de coleções organizadas implica abscesso e, portanto, diverticulite complicada, o que requer avaliação tomográfica adicional.
CT
Encordoamento pericólico, muitas vezes desproporcionalmente proeminente em comparação com a quantidade de espessamento da parede intestinal
Espessamento segmentar da parede intestinal
Realce da parede do cólon
Geralmente tem camadas internas e externas de alta atenuação, com uma camada média espessa de baixa atenuação
Perfuração diverticular
Extravasamento de gás e fluido para a pelve e cavidade peritoneal
Formação de abscesso (visto em até 30% dos casos)
Pode conter fluido, gás ou ambos
Formação de fístula (geralmente uma complicação crônica)
Gás na bexiga
Visualização direta de um trato fistuloso.
Tratamento e Prognóstico
O tratamento depende de uma série de fatores, especialmente comorbidades do paciente e estágio da doença.
Para doença localizada ( estágio I e II ), o manejo conservador com antibióticos IV e reidratação geralmente é suficiente. Se o primeiro ataque de diverticulite for tratado com sucesso sem cirurgia, a maioria dos pacientes não apresenta episódios adicionais (66-75%). Mas alguns têm vários ataques repetidos e precisam de cirurgia.
Se o abscesso for grande, a drenagem percutânea sob TC ou US pode ser benéfica (bem-sucedida em 70-90% dos casos).
Complicações
Formação de abscesso
Formação de fístula:
Bexiga: fístula colovesical ( Mais comum, manifesta-se com espessamento vesical adjacente a um espessamento de alça colônica e ar no interior da bexiga)
trVagina: fístula colovaginal
Intestinal: fístula coloenteric ou fístula colocolic
Pele: fístula colocutânea
Obstruções do intestino delgado por aderências ou edema da parede do intestino
Perfuração resultando em pneumoperitônio, peritonite e sepse
Pileflebite, também conhecida como tromboflebite séptica ascendente.
Diagnóstico Diferencial
Carcinoma colorretal
Mudança menos inflamatória
Segmento geralmente mais curto
Apendicite aguda (para casos de diverticulite à direita)
Pacientes mais jovens
Apendagite epiplóica
Colite isquêmica
Colite pseudomembranosa
Espessamento da parede intestinal mais pronunciado do que a quantidade de encordoamento
Doença inflamatória intestinal
Espessamento da parede intestinal mais pronunciado do que a quantidade de encordoamento
Abscesso tubo-ovariano
Referências
https://www.scielo.br/pdf/rb/v50n2/pt_0100-3984-rb-50-02
https://www.msdmanuals.com/pt/profissional/distúrbios-gastrointestinais/doenca-diverticular/diverticulite-colonica
https://brad.org.br/pt/Cases/CaseDetails/78
Autores
Dra. Camila S. de Oliveira e Dr. Rafael Gouvêa Gomes de Oliveira.
















