[Caso Clínico] Outubro de 2020 - Coluna
Coluna: Sacroileíte
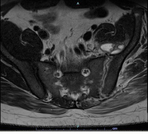
RM Coluna Lombo-sacra - Axial t1 com contraste: Sinais de sinovite associada a coleções inflamatórias com derrame articular com realce pós contraste. Estes achados estão frequentemente associados com artrite séptica da articulação sacro-ilíaca esquerda com abscessos junto aos grupamentos musculares adjacentes.
Introdução
A Sacroileíte é uma inflamação de uma ou ambas as articulações sacroilíacas (SI), sendo uma causa comum de dor lombar ou nádegas, eventualmente irradiando para os membros inferiores. Ela pode corresponder a uma ampla gama de processos de doenças. Na maioria das vezes o diagnóstico clínico da sacroileíte é difícil, dependendo substancialmente da confirmação dos achados radiológicos, em que a radiografia convencional e, principalmente, a tomografia computadorizada (TC) e a ressonância magnética (RM) assumem papel primordial.
Patologias causadoras
Acometimento normalmente bilateral e simétrico:
- Doença de Crohn;
- Colite ulcerativa;
- Espondilite anquilosante;
- Artrite reumatoide;
- Doença de Whipple;
- Retículo-histiocitose.
Acometimento normalmente bilateral e assimétrico:
- Gota;
- Artrite psoriática;
- Artrite reativa (Síndrome de Reiter);
- Osteoartrite;
- Policondrite recidivante;
- Doença de Behçet.
Acometimento normalmente unilateral:
- Doença de Behçe
- Processo destrutivo neoplásico;
- Infeccioso (artrite séptica piogênica, tuberculose sacrilíaca, brucelose);
- Paraplegia;
- Síndrome de SAPHO.
Diagnósticos Diferenciais
- CHiperparatireoidismo;
- Osteíte condensante.
Classificação radiográfica (critérios de Nova Iorque):
- Grau 0: normal;
- Grau 1: borramento das margens (alterações suspeitas);
- Grau 2: esclerose mínima com alguma erosão;
- Grau 3: esclerose definitiva em ambos os lados da articulação ou erosões graves com alargamento do espaço articular com ou sem anquilose;
- Grau 4: anquilose completa..
Características Radiográficas
Embora a TC seja a modalidade de escolha para o diagnóstico e estadiamento da diverticulite colônica com uma sensibilidade de 94% e especificidade de 99%, um estudo ultrassonográfico dedicado pode ser capaz de caracterizar com segurança essa condição.
Tomografia Computadorizada
Os exames de tomografia computadorizada oferecem maior sensibilidade, precisão e informações detalhadas que a radiografia simples. No entanto, devido a maior exposição à radiação, não é aconselhável usar a TC para fins de diagnóstico e acompanhamento.
Ressonância Magnética
Embora não seja usada rotineiramente para avaliar as articulações sacrilíacas, a ressonância magnética é capaz de identificar alterações inflamatórias iniciais das articulações quando outras imagens são negativas e exclui outras causas diferenciais.
Classificação ASAS (Avaliação da Sociedade de Espondiloartrite) se divide em duas categorias:
1- Sinais da ressonância magnética obrigatórios:
• Edema de medula óssea em uma sequencia ponderada de T2 ou aumento de contraste da medula óssea em uma sequencia ponderada de T1. O edema de medula óssea deve estar presente em duas imagens consecutivas ou apresentar múltiplas lesões em apenas uma imagem;
• A inflamação deve estar claramente presente e localizada em uma área anatômica típica (osso subcondral);
• A imagem ser altamente sugestiva de espondiloartropatia.
2- Sinais da ressonância magnética não obrigatórios:
• A presença única de outras lesões inflamatórias, como sinovite, entesite ou capsulite sem edema de medula óssea concomitante, não é suficiente para definição de sacroileíte ativa;
• Na ausência de sinais de edema da medula óssea, a presença de lesões estruturais, como metaplasia gordurosa, esclerose ou anquilose, podem ser consideradas lesões crônicas, porem não sacroileíte ativa.
Tratamento e Prognóstico
O tratamento dependeria da causa da doença, enquanto a fisioterapia pode ser útil para fortalecer o músculo pélvico e aumentar a mobilização da articulação sacrilíaca. Uso de AINES nos paciente sintomáticos. A fusão cirúrgica é considerada o último recurso quando outro tratamento conservador é ineficaz.
Sacroileíte sépticas
A artrite séptica é uma artropatia destrutiva causada por uma infecção intra-articular que geralmente está relacionada a sintomas graves, como dor e diminuição da amplitude de movimento. Essa condição requer tratamento imediato com o objetivo de evitar danos permanentes à articulação, que podem resultar em deformidade crônica ou artrite mecânica.
Apresentação Clínica
O diagnóstico de sepse articular costuma ser considerado direto. Os pacientes geralmente apresentam dores nas articulações, febre e líquido sinovial purulento.
Patologia
Os fatores de risco para artrite séptica incluem bacteremia, idade avançada, estado imunocomprometido, artrite reumatóide, injeções intra-articulares e próteses articulares.
Na ausência de trauma ou instrumentação recente da articulação, a artrite séptica geralmente é secundária à disseminação hematogênica. S. aureus é o agente mais comumente isolado.
Imagens Radiológicas
• Radiografia
Podem ser normais no estágio inicialda doença; passando por derame articular, podendo haver osteoporose justarticular devido devido a hiperemia, estreitamento do espaço articular devido a destruição da cartilagem na fase aguda, destruição do osso subcondral em ambos os lados de uma articulação, se não for tratada esclerose justarticular reativa e em casos graves a anquilose se desenvolverá.
• Tomografia Computadorizada
As caracteristicas são semelhantes às encontradas nas radiografias, sendo um nivel de fluido de gordura pode ser um sinal, na ausência de trauma.
• Ressonância Magnética
Sensivel e mais especifico para dano cartilaginoso inicial
T1: baixo sinal em dentro do osso subcodral;
T2: edema perissinovial;
C+ (Gd): realce sinovial..
Diagnóstico Diferencial
Carcinoma colorretal
Mudança menos inflamatória
Segmento geralmente mais curto
Apendicite aguda (para casos de diverticulite à direita)
Pacientes mais jovens
Apendagite epiplóica
Colite isquêmica
Colite pseudomembranosa
Espessamento da parede intestinal mais pronunciado do que a quantidade de encordoamento
Doença inflamatória intestinal
Espessamento da parede intestinal mais pronunciado do que a quantidade de encordoamento
Abscesso tubo-ovariano
Tratamento
Os princípios de tratamento consistem basicamente na drenagem e uso de antibióticos. Se o paciente estiver hemodinamicamente estável o ideal e colher uma amostra do fluido articular acometido, permitindo o tratamento direcionado da infecção. Se não for reconhecida e não for tratada, a artrite séptica pode resultar em dano articular irreversível em 48 horas após o inicio da infecção.
Referências
https://radiopaedia.org/articles/septic-arthritis?lang=us
https://radiopaedia.org/articles/sacroiliitis-differential?lang=us
https://radiopaedia.org/articles/sacroiliitis?lang=us
https://radiopaedia.org/articles/asas-sacroiliitis-classification-system?lang=us
https://radiopaedia.org/articles/sacroiliitis-grading-new-york-criteria?lang=us
https://www.rb.org.br/detalhe_artigo.asp?id=2884
Autores
Dr. Felipe Amsterdam Maia de Sandres, Dr. Rafael Gouvea Gomes de Oliveira, Dr. Társio Amaral Oliveira.













